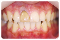
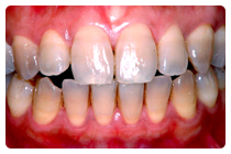
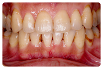
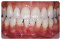
超音波チップによる除石(歯石除去)とペーストによるポリッシング(研磨)により健康で自然な美しさを取り戻します。さらに輝く白い歯を求める場合は、歯の漂白(ホワイトニング)が必要です。
歯に付着した歯垢(プラーク)や歯石(タータ)は超音波チップを用いた機械的な清掃により除去できますが、タバコのヤニ、コーヒー・赤ワイン等による着色性の付着物はそれだけでは除去できません。過酸化水素や過酸化尿素などを利用するホワイトニングは歯の内部の色素を分解する事により、歯の色を白くします。
オーバートリートメント(過剰治療)はなるべく避けたいと考えて、診療していますが、歯科治療は審美的な要求が高いとの認識から、ホワイトニングにも積極的に取り組んでいくことにしました。
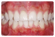
当院ではビヨンドシステムによるオフィスホワイトニングを実施しています。日本人はエナメル質が薄く、ホワイトニング中に痛みを伴うことが少なからずあります。

きめ細かい問診を行い、なるべく痛みを感じずに、ご希望の白さに近づけるように施術いたします。ビヨンドシステムは数あるホワイトニングシステムの中でも最新で痛みの生じにくいシステムです。1回の治療時間は1時間程度です。これを1~3回10日おきに施術します。白さを保つためには3カ月おきのホワイトニング(タッチアップ)が有効です。















